AG百家乐大转轮-AG百家乐导航_怎么看百家乐走势_全讯网官网 (中国)·官方网站

科研新聞

首頁 > 科研新聞 > 正文

附屬第六醫院生殖醫學中心團隊全球首次應用第三代試管嬰兒技術,成功阻斷端粒融合型環狀染色體向子代傳遞

稿件來源:附屬第六醫院 編輯:盧旖維 審核:孫耀斌 發布日期:2024-03-23 閱讀量:

中大新聞訊(通訊員張婷婷、戴希安、簡文楊、張志強)2024年3月19日,附屬第六醫院生殖醫學中心團隊召開新聞發布會,宣布全球首次應用第三代試管嬰兒技術,成功阻斷端粒融合型環狀染色體向子代傳遞,現健康寶寶已滿百天。這是國際上首次通過改進后的基于鏈讀測序的長片段二代測序技術,成功實現了端粒融合型環狀染色體的單體型構建。

小雪(化名)夫妻女方染色體異常(攜帶環狀染色體),男方基因變異,想要生育一個完全健康的孩子非常困難。環狀染色體是人類很罕見的一類染色體結構畸變,攜帶者一般生育率較低,會承受不孕不育、反復流產或生育畸形兒等風險。同時小雪夫婦均為新發變異,無法通過雙方父母的信息構建單體型,從而給胚胎的診斷帶來了挑戰。

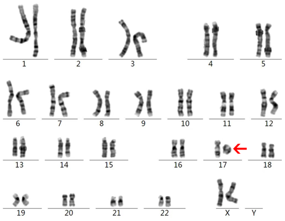
該類染色體核型結果(17號染色其中一條體呈現環形)

附屬第六醫院梁曉燕教授團隊開發了針對環狀染色體檢測的基于鏈讀測序的長片段二代測序方法。常規二代測序長度約為單端0.15kb(人類染色體頭尾2個端粒的平均長度18-30kb),因此,常規二代測序無法跨越2個端粒融合區域進行檢測,經過技術改良后,此例測序長度平均值大于30kb,且堿基準確性比較高,可檢測到大量跨越端粒融合區域的長片段DNA分子,從而確認了環狀染色體的結構;再通過標記、篩選分類,成功構建了17號環狀染色體攜帶單體型、正常染色體的單體型,同時還成功構建了男方新發致病突變基因的單體型。隨后,團隊對胚胎進行了一體化PGT檢測(PGT-plus),成功判斷了胚胎環狀染色體及致病基因變異的攜帶情況,在11枚胚胎中成功獲得了1枚染色體和基因均正常的胚胎。2023年12月7日,這位國際首例“染色體脫環”寶寶順利誕生,且各項相關評估及檢查均正常。

附屬第六醫院生殖醫學中心基于這類環狀染色體構建單體型的技術方法已申請技術發明專利,此技術還有望拓展應用至其他有染色體異常和單基因病的夫婦。希望這一突破性的研究成果能為更多飽受不孕和遺傳疾病風險之苦的家庭生育健康后代帶來希望,同時也為醫學領域開辟新的道路。

中大新聞
新聞投稿
赌百家乐官网2号破解| VIP百家乐-挤牌卡安桌板| 大富翁娱乐城| 百家乐另类投注法| 澳门网络游戏| 百家乐官网倍投工具| 菲律宾在线游戏| 678百家乐博彩娱乐网| 现场百家乐官网百家乐官网| 百家乐投注最好方法| 百家乐官网招商用语| 做生意风水关键吗| 百家乐官网下注口诀| 打百家乐官网如何赢分| 百家乐欧洲赔率| 尊龙百家乐官网娱乐网| 足球竞猜| 怎么赢百家乐的玩法技巧和规则| 百家乐官网赌博机怎么玩| 大发888下载 17| 太阳百家乐官网代理| 闽侯县| 百家乐破解秘| 自己做生意怎样才能带来财运| 凯时百家乐官网技巧| 威尼斯人娱乐城总部| 罗盘24山八卦| 百家乐官网3号眨眼技术| 大发888bet娱乐场下载| 机器百家乐作弊| 广发百家乐官网的玩法技巧和规则 | 凯斯网百家乐官网的玩法技巧和规则| 綦江县| 威尼斯人娱乐平台官网| 做生意布局风水| 百家乐官网扑克桌布| 网上棋牌赌博| 永利百家乐赌场娱乐网规则| 试玩百家乐官网帐| 百家乐官网画面| 百家乐官网最新投注方法|